1- Protéger ses rotules
Le chihuahua est la plus petite race de chien au monde.
Cela implique une certaine fragilité articulaire notamment sur l'os de la rotule, les os étant extrêmement petits. Le plus important étant de les préserver au maximum des chocs à la montée et à la descente. Une prédisposition à la luxation de la rotule a été constatée depuis des dizaines d'année, c'est pourquoi il est essentiel d'écarter de la reproduction tout chien présentant cette pathologie.
Nos reproducteurs sont systématiquement testés avant la mise en reproduction (15 mois) et ils sont vus régulièrement par nos osthéopathes de l'IFOA ( partenaire décrit dans la rubrique suivante).
Luxation de la rotule chez le chien
La rotule chez le chien (également appelée patelle), est un os situé dans le tendon du muscle quadriceps. Ce petit os coulisse au contact du fémur en fonction des différents degrés de flexion/extension du genou dans une fosse osseuse (la trochlée) située dans l’articulation du genou. La rotule est rattachée plus bas au niveau du tibia par un tendon (le tendon patellaire). Le muscle quadriceps, la rotule, le tendon patellaire et la tubérosité tibiale forment l’appareil extenseur du genou, ils permettent de réaliser des flexions et extensions du genou et sont normalement parfaitement alignés l’un par rapport à l’autre.
La rotule (également appelée patelle) est un os situé dans le tendon du muscle quadriceps. Ce petit os coulisse au contact du fémur en fonction des différents degrés de flexion/extension du genou dans une fosse osseuse (la trochlée) située dans l’articulation du genou. La rotule est rattachée plus bas au niveau du tibia par un ligament (formant le tendon patellaire). Le muscle quadriceps, la rotule, le tendon patellaire et la tubérosité tibiale forment l’appareil extenseur du genou, ils permettent de réaliser des flexions et extension du genou et sont normalement parfaitement alignés l’un par rapport à l’autre.
On parle de luxation de la rotule à partir du moment où la rotule sort de son logement lors des mouvements de flexion/extension. Cette luxation peut être médiale (vers l’intérieur du genou) ou latérale (vers l’extérieur), permanente ou occasionnelle, réductible (la rotule peut revenir spontanément en place dans son logement) ou non, coercible (lorsque la rotule est remise en place, celle-ci tient) ou non. C’est de cette façon que l’on grade une luxation de rotule :
Grade 1 : La rotule peut être luxée manuellement mais spontanément, la luxation est très occasionnelle. Lorsqu’elle est luxée, la rotule revient spontanément à sa place et reste en place.
Grade 2 : La rotule luxe spontanément et occasionnellement mais peut se replacer spontanément ou être replacée par des manipulations, et elle tient en place. La luxation est alors dite réductible, et coercible.
Grade 3 : La rotule est luxée en permanence. Elle peut être replacée par des manipulations, mais ne tient pas en place et se reluxe immédiatement. La luxation est alors dite réductible, mais non coercible.
Grade 4: La rotule est luxée en permanence et ne peut pas être replacée par des manipulations. Des déformations du membre sont souvent présentes. La luxation est alors dite non réductible, et donc non coercible.
La luxation de rotule peut parfois résulter d’un traumatisme. Cependant, le plus souvent, cette anomalie découle d’une cause en partie génétique.
Une anomalie de développement durant la croissance du chien se manifeste par un défaut d’alignement de l’appareil extenseur du genou. Cette anomalie d’alignement entraine des contraintes anormales au niveau de la rotule, qui peut alors avoir tendance à sortir de son logement (un peu comme la chaine d’un vélo qui déraille).
Parfois, c’est une conformation anormale de la hanche, une malformation du fémur ou du tibia, ou une déviation de la crête tibiale qui peuvent être à l’origine d’une luxation de la rotule. Enfin, la trochlée dans laquelle glisse la rotule manque souvent de profondeur pour accueillir et maintenir la rotule en position.
Les chiens de petite race sont plus souvent atteints que les chiens de grandes races, et l’atteinte est souvent bilatérale.
Les races les plus concernées sont : Akita Inu, Bichon frisé, Boston terrier, Caniche miniature, Chihuahua, Chow chow, Cocker spaniel, Flat-coated retriever, Golden retriever, Labrador, Lhasa Apso, Pinscher, Pomeranien, Terrier australien, Yorkshire terrier
Les signes cliniques qui résultent d’une luxation de rotule sont très variables et peuvent aller d’une absence totale de symptôme, à une boiterie sévère avec suppression de l’appui.
Les luxations de stade 1 ou 2 sont classiquement associées à une boiterie faible à modérée. Les chiens atteints peuvent parfois se mettre à marcher sur 3 pattes sur quelques foulées, tout en étendant et secouant le membre, puis retrouver une démarche tout à fait normale. Puis la boiterie peut devenir plus fréquente et plus marquée. Une réticence à se déplacer et une fatigabilité inhabituelle peuvent être constatées.
Parfois, une allure anormale avec les 2 pattes arrière arquées (comme un cow boy) peut être notée.
Lorsque la boiterie évolue, une fonte musculaire peut s’ajouter. Avec le temps la rotule se luxe de plus en plus facilement, des lésions au niveau du cartilage articulaire progressent, de l’arthrose se met en place, et vient compliquer le tableau clinique. Enfin, une rupture du ligament croisé peut suivre après quelques années.
Le diagnostic d’une luxation de rotule se réalise essentiellement au cours d’une consultation spécialisée d’orthopédie, avec un examen rigoureux des articulations.
La palpation du genou et la mobilisation de la rotule permettent d’établir un diagnostic et de déterminer la sévérité et le grade de la luxation de rotule. Au cours de cet examen, les autres structures ligamentaires du genou sont examinées, car d’autres lésions peuvent se surajouter, notamment une rupture des ligaments croisés.
Des radiographies (et parfois même un scanner) peuvent également être réalisées dans le but :
– D’évaluer le degré d’arthrose
– De mettre en évidence d’éventuelles malformations osseuses associées
– D’exclure d’autres maladies pouvant se manifester par les mêmes symptômes
– De prévoir une chirurgie
Le traitement des luxations de rotule peut être médical ou chirurgical.
- Traitement médical
Les luxations de rotule qui n’entrainent pas de symptômes ne nécessitent pas de correction chirurgicale. Un contrôle du poids, l’administration d’anti-inflammatoires au besoin et de protecteurs articulaires sont le plus souvent suffisants. Le renforcement musculaire est aussi important.
- Traitement chirurgical
Une prise en charge chirurgicale doit être considérée pour les grades 3 et supérieurs dès que des signes cliniques, même intermittents, sont présents. Une boiterie est une gêne, une douleur, donc soulager est important. Surtout, si les signes sont présents c’est que la luxation se passe spontanément et ne rien faire va aggraver la luxation, et abimer le genou.
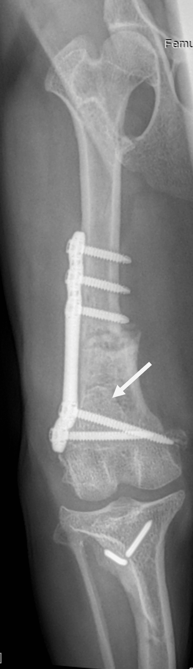
Lors de la chirurgie, plusieurs gestes sont réalisés conjointement. Les objectifs sont multiples : réaligner l’appareil extenseur du genou, recreuser la trochlée sans abimer le cartilage, traiter les déformations éventuelles (qu’elles soient à l’origine de la luxation, ou secondaires à la luxation), traiter les lésions associées (une rupture de ligament croisé par exemple).
En pratique, il est ainsi possible de :
- Reconstruire, à l’aide de différentes techniques, les tissus mous péri-articulaires, distendus par la rotule a force de se luxer.
- Réaliser une transposition de la crête tibiale. L’objectif ici est de réaligner l’appareil extenseur en déplaçant l’attache du ligament patellaire vers l’intérieur ou l’extérieur. La crête tibiale (le relief osseux du tibia sur lequel est attaché le ligament patellaire) est alors sectionnée et détaché du tibia, décalé de quelques millimètres, et refixé au tibia à l’aide de broches.
- Creuser la trochlée (la fosse dans laquelle est contenue la rotule) afin que la rotule puisse coulisser profondément.
- Corriger les déformations osseuses par différentes techniques d’ostéotomies correctrices lorsque la rotule se luxe secondairement à des déformations du tibia ou du fémur.
Le pronostic est bon à excellent mais dépendant de la sévérité de la luxation, et de la présence éventuelle de lésions associées (arthrose, rupture des ligaments croisés) et du traitement réalisé.
La principale complication post-opératoire est une récidive de luxation entrainant une persistance de la boiterie mais cette complication est rare.
Enfin, comme après n’importe quelle chirurgie, et plus particulièrement une chirurgie orthopédique, une inflammation, une infection, un mouvement des implants peuvent aussi être constatées.
Dans tous les cas, une phase de repos de 6-8 semaines est habituellement recommandée après la chirurgie.
Comment prévenir la luxation de la rotule?
Comment prévenir et soigner naturellement, sans produits chimiques, les troubles articulaires chez les chiens de petites tailles tels que dysplasie des hanches, luxation rotule, arthrite, arthrose, faible masse musculaire… Ces indications sont tout aussi valables pour un chien qui a un problème que pour ceux qui n’en ont pas, la prévention reste la meilleure option.
2) L’exercice :
-
Eviter les sauts répétitifs (kangourou)
-
Faire de longues promenades, ‘’escalader’’ des pentes douces…
-
Faites assoir et lever votre chien à plusieurs reprise
-
Vous pouvez aussi trouver une petite colline escarpée et la lui faire monter direct ou en zig-zag.
-
Apprenez à votre chien à ramper en l’attirant avec de la nourriture, encourager le à garder son bassin vers le bas tout en avançant. Installer une rangée de barres au sol ceci encouragera la flexion et l’extension des pattes arrières. Des promenades en forets serait parfaites car remplis de petits obstacles.
-
Tapis roulant ou la natation sont d’excellents moyens de renforcer les structures du genou environnantes. La résistance de l’eau aidera à bâtir la force musculaire.
Les suppléments alimentaires à incorporer aux repas de viande crue:
Vitamine C à raison de 500mg/jour favorise l’absorption du collagène par l’organisme.
Et dernière option, l’ostéopathie. Parce que oui, une séance minimum par an, permettra de garder votre chien en bonne santé physique !
